Tipuri De Proteze De Genunchi





Proteza De Genunchi Inlocuirea Genunchiului Pe Inţelesul Tuturor

Proteza De Genunchi Inlocuirea Genunchiului Pe Inţelesul Tuturor

Proteza Genunchi Ortopedie Arcalife

Proteza Genunchi Ortopedie Arcalife

Artroplastie Genunchi Artroplastia Protezare Sold Protezare Genunchi

Artroplastie Genunchi Artroplastia Protezare Sold Protezare Genunchi

Proteza De Revizie Genunchi Dr Dragos Popescu Chirurgia Genunchiului

Proteza De Revizie Genunchi Dr Dragos Popescu Chirurgia Genunchiului

Proteza De Genunchi Toate Etapele Acestei Operatii Medlife

Proteza De Genunchi Toate Etapele Acestei Operatii Medlife

Proteza Totala De Genunchi Ortokinetic Ro

Proteza Totala De Genunchi Ortokinetic Ro

Proteza Totala De Genunchi Ortokinetic Ro

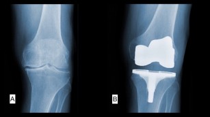
Protezele totale au beneficiat de o cunoastere mai buna a fiziologiei genunchiului in mod particular a notiunilor de rulare alunecare si rotatie tibiala in timpul flexiei extensiei.

Tipuri de proteze de genunchi. Este o proteza modulara adaptabila oricarei morfologii anatomice. Proteza de genunchi de revizie permite efectuarea de revizii a unor proteze implantate anterior degradate in conditiile in care exista defecte osoase majore sau pierderi de capital osos. Artroplastia totală de genunchi presupune înlocuirea cartilajului articular degradat de la nivelul celor trei compartimente ale genunchiului cu o proteză de genunchi. O proteza partiala este folosita pentru a inlocui doar partile afectate ale genunchiului in timp ce o proteza totala presupune inlocuirea completa a genunchiului.

în urma activităţilor normale orice implant de genunchi începe să se uzeze la nivelul distanţierului de polietilenă. Exista doua categorii principale de proteze de genunchi. Astfel proteza de genunchi vă va permite să faceţi aproape tot ceea ce făceaţi înainte de a fi dezvoltat această afecţiune. Componenta femurală care este metalică şi înlocuieşte cartilajul articular femural degradat.

Astfel in majoritatea cazurilor se poate utiliza proteza totala cu trei compartimente cimentata sau necimentata cu platou tibial fix sau mobil iar in alte situatii se pot alege protezele partiale cu un compartiment care pot si de asemenea cimentate sau. Proteza totală de genunchi. Reprezinta tipul cel mai frecvent folosit de proteza de genunchi. în unele cazuri ar putea fi necesară o grefă osoasă transplantare de os din altă parte a corpului sau de la un donator pentru a susține noua proteză.

Aceasta e formată din trei componente. Partiala numita si unicompartimentala.

Proteza De Genunchi Inlocuirea Genunchiului Pe Inţelesul Tuturor

Proteza De Genunchi Inlocuirea Genunchiului Pe Inţelesul Tuturor

Proteza Genunchi Ortopedie Arcalife

Proteza Genunchi Ortopedie Arcalife

Proteza Genunchi Ortopedie Arcalife

Proteza Genunchi Ortopedie Arcalife

Artroplastia De Genunchi Descrisă De Dr Gabriel Stefănescu

Artroplastia De Genunchi Descrisă De Dr Gabriel Stefănescu

Proteza De Genunchi Ce Presupune Aceasta Interventie Chirurgicala

Proteza De Genunchi Ce Presupune Aceasta Interventie Chirurgicala

Proteza Totala De Genunchi Ortokinetic Ro

Proteza Totala De Genunchi Ortokinetic Ro

Cand Este Nevoie De O Proteză De Genunchi La Gonartroză

Cand Este Nevoie De O Proteză De Genunchi La Gonartroză

Proteza De Genunchi Toate Etapele Acestei Operatii Medlife

Proteza De Genunchi Toate Etapele Acestei Operatii Medlife

Endoproteza De Genunchi Kinetoterapia In Gonartroza Afectiunea Care Duce

Endoproteza De Genunchi Kinetoterapia In Gonartroza Afectiunea Care Duce

Artroplastie Genunchi Artroplastia Protezare Sold Protezare Genunchi

Artroplastie Genunchi Artroplastia Protezare Sold Protezare Genunchi

Proteza Totala De Genunchi Ortokinetic Ro

Proteza Totala De Genunchi Ortokinetic Ro

Endoproteza De Genunchi Kinetoterapia In Gonartroza Afectiunea Care Duce

Endoproteza De Genunchi Kinetoterapia In Gonartroza Afectiunea Care Duce

Artroplastia De Genunchi Descrisă De Dr Gabriel Stefănescu

Artroplastia De Genunchi Descrisă De Dr Gabriel Stefănescu

Proteza De Genunchi Inlocuirea Genunchiului Pe Inţelesul Tuturor

Proteza De Genunchi Inlocuirea Genunchiului Pe Inţelesul Tuturor

Source : pinterest.com